🧐Caveats
Objectives
After reading this section, you should be able to:
- ✅Identify contraindications for ultrasound-guided IV access.
- ✅Realize potential difficulties during cannulation and know how to troubleshoot.
- ✅Recognize potential complications and describe mitigation strategies.
🌟Tips
Following are some common difficulties and ways to tackle them. Nonetheless, the best way to improve success rate is by practising more.
- Needling difficulty: Tweak POCUS settings such as depth, focus and gain for a clearing image. Prioritise optimisation of patient and provider positioning and stability. Do not float the probe, instead rest the little finger on skin surface to stablise the hand holding the probe. Use DNTP skills to identify and track needle tip.

- Collapsed vessel: Make sure the vessel is occluded proximally with a tourniquet. Position the limb lower than the heart level to slow down venous emptying. Reduce pressure applied with the probe.
- Failure to thread: Since the catheter is slightly shorter than the needle, seeing the flash back or the bullseye may just be the needle tip reaching the lumen, not the cannula. Therefore, always push the needle in 1-2mm more before threading the catheter and removing the needle. On the other hand, consider floating the catheter in with a saline flush, especially if the lumen is small and collapsible.
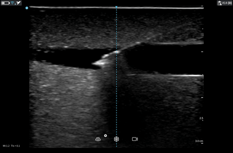
Threading skill
The clip shows that the catheter was slightly shorter than the needle when it is removed. If the cathether is threaded in immediately after puncture, it may fail.

- Poor Ergonomics: Brace or rest your elbow on the desk surface. Maintain a clear line of sight from eye to needle to screen. Once you have familiarized with the needling skills, your eyes should focus mostly on the POCUS screen than the puncture site.
- Mal-alignment:
- In the short axis view, before skin puncture, fan or slide the probe along the vessel course to align the needle direction. Form an imaginary line along the vessel course to guide the needle advancement.
- For the long axis view, if the movement on screen does not match your needling movement, adjust the needling direction to re-align the needle. If you find the probe is off angle with the vessel but the needle is aligned, fan and/or rotate the probe to reset the view.
🚫Contraindications
- Relative contraindication: Low Modified A-DIVA Score, clearly visible superficial vein, absence of indication for IV access.
- Absolute contraindication: ipsilateral mastectomy with lymph node removal, or existing AV fistulas or grafts, cellulitis, burns, or traumatic injury at the intended site.
- Clinical considerations: Do not delay advanced vascular access, such as during CPR or developing shock. In these scenarios, establishing a central line or intraossesous access may be more appropriate.
😥Complications
- Arterial puncture: If the catheter drips bright red and pulsatile blood, arterial puncture is likely. Remove immediately and hold pressure for 5+ minutes.
- Nerve contact: It presents with sudden electric shock or radiating pain. Withdraw immediately and do not fish for the vein blindly.
- Extravasation: If the site swell up or patient reports pain during saline or medication flush, the catheter may have dislodged or misplaced. Stop using the catheter, remove it and dress the site. Docuement the issue and watch out for late sequalae such as haematoma, infection and necrosis.
- Soft tissue infection and phlebitis: Late complication of any peripheral IV access if infection control was not done properly. Always sterilise the skin well, use sterile protective cover for the POCUS probe and single use sterile ultrasound gel.
🔄Recap
What are the steps in the DNTP technique?
Locate the tip, park the needle, slide the probe, advance the needle, and repeat.
How to verify intraluminal placement of catheter
- Low resistance flushing and lack of tissue swelling.
- Visualsation of the whole catheter within lumen using long axis view.
- Visualisation the snowstorm of bubbles using POCUS while flushing saline.
What are the contraindications of performing ultrasound guided IV access?
- Absolute contraindications are history of ipsilateral axillary LN dissection or breast surgery, ipsilateral AV fistula and fracture, crush or burn injury in the same limb.
- Relative contraindications include non-difficult or easy IV access, indication for immediate or central venous access, and no clinical indication for IV access.